Children Dentistry
The American Academy of Pediatric Dentistry recommends your child’s first dental visit after the first tooth erupts and no later than the child’s first birthday. The children’s dentist can then perform a baseline oral care exam and provide parents with information on children’s dental care. Kids should see the dentist every six months for a cleaning and regular checkup. Tooth decay is more likely to happen when kids are young so it is important to have regular appointments.
-
During each teeth cleaning appointment, you and your child can expect as:
- Full oral exam to identify changes in the tissues of the mouth.
- Diagnosis of any dental conditions. The dentist will perform the exam and look for cavities or other dental conditions.
- Prophylaxis. We will clean and polish the teeth to remove sticky bacteria called plaque. When plaque builds up, it can cause tooth decay.
The staff will also teach your child proper brushing and flossing as needed, and answer any dental questions you may have.
Dental Radiographs (X-Rays)
The American Academy of Pediatric Dentistry recommends your child’s first dental visit after the first tooth erupts and no later than the child’s first birthday. The children’s dentist can then perform a baseline oral care exam and provide parents with information on children’s dental care. Kids should see the dentist every six months for a cleaning and regular checkup. Tooth decay is more likely to happen when kids are young so it is important to have regular appointments.
During each teeth cleaning appointment, you and your child can expect as:
- Full oral exam to identify changes in the tissues of the mouth.
- Diagnosis of any dental conditions. The dentist will perform the exam and look for cavities or other dental conditions.
- Prophylaxis. We will clean and polish the teeth to remove sticky bacteria called plaque. When plaque builds up, it can cause tooth decay.
The staff will also teach your child proper brushing and flossing as needed, and answer any dental questions you may have.
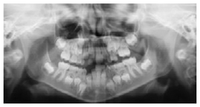
Radiographs (X-Rays) are a vital and necessary part of your child’s dental diagnostic process. Without them, certain dental conditions can and will be missed.
The American Academy of Pediatric Dentistry recommends radiographs and examinations every six months for children with a high risk of tooth decay. On average, most pediatric dentists request radiographs approximately once a year. Approximately every 3 years, it is a good idea to obtain a complete set of radiographs, either a panoramic and bitewings or periapicals and bitewings.
Radiographs detect much more than cavities. For example, radiographs may be needed to survey erupting teeth, diagnose bone diseases, evaluate the results of an injury, or plan orthodontic treatment. Radiographs allow dentists to diagnose and treat health conditions that cannot be detected during a clinical examination. If dental problems are found and treated early, dental care is more comfortable for your child and more affordable for you.
Pediatric dentists are particularly careful to minimize the exposure of their patients to radiation. With contemporary safeguards, the amount of radiation received in a dental X-ray examination is extremely small. The risk is negligible. In fact, the dental radiographs represent a far smaller risk than an undetected and untreated dental problem. Lead body aprons and shields will protect your child. Today’s equipment filters out unnecessary x-rays and restricts the x-ray beam to the area of interest. High-speed film and proper shielding assure that your child receives a minimal amount of radiation exposure.
